Введение
За последние несколько десятилетий интерес ученых сместился в сторону заболеваний, связанных с мозгом, и токсического воздействия металлов. В связи с этим изучению металлов было посвящено множество исследований. Достоверно известно, что большая часть повреждений мозга, вызванных воздействием соединений металлов, может привести к необратимым повреждениям мозга или снижению его активности.
Анализ медицинской литературы показал недостаточное наличие сведений о распространенности, масштабах и особенностях нарушения памяти у пациентов с накоплением поливалентных металлов и их роли в патогенезе когнитивных нарушений. В этом исследовании мы стремились изучить особенности мнестических трудностей у лиц с болезнью Вильсона — Коновалова (БВК) и болезнью Галлервордена — Шпатца (БГШ), уделяя особое внимание взаимосвязи между биохимическими и когнитивными маркерами, а также состоянием когнитивного статуса с учетом длительности заболевания. Мы рассматривали влияние тета-ритма на процесс восстановления памяти и оценивали когнитивный дефицит с помощью шкал и данных нейровизуализации, принимая во внимание показатели лабораторных анализов, результаты электроэнцефалограммы (ЭЭГ) и когнитивных вызванных потенциалов (КВП).
Актуальность данного исследования состоит в том, что у пациентов с орфанными (от англ. «orphan» — «сирота»), то есть редкими, присущими небольшой части популяции, нейродегенеративными заболеваниями (НДЗ) наблюдается нарушение когнитивного статуса, в частности памяти, приводящее к снижению качества жизни и ухудшению клинического прогноза. Учитывая ограниченное число публикаций по данной проблематике и манифестацию заболевания в молодом и среднем возрасте, следует признать острую потребность в исследовании характеристик нарушения памяти в зависимости от избыточного накопления меди и железа в головном мозге, а также роли тета-ритма при неинвазивной аудиостимуляции структур гиппокампа. Известно, что тета-ритм играет критически важную роль в процессах внимания и памяти, осуществляющихся с участием гиппокампа, а принцип действия прибора аудиостимуляции основан на явлении синхронизации электрических потенциалов головного мозга с внешним стимулом — ритмичным звуком.
Железо и медь являются важными сопутствующими факторами для ряда ферментов в головном мозге, включая ферменты, участвующие в синтезе нейромедиаторов и образовании миелина. На мозг влияет как недостаток, так и избытокжелеза или меди, приводящие к нарушению гомеостаза меди в мозге. Аналогичным образом изменения в потреблении меди влияют на гомеостаз железа в мозге. Кроме того, пути поглощения железа и меди частично совпадают, что влияет на соотношение концентраций этих двух металлов в мозге.
Все тяжелые металлы — от аурума (золота) до цинка, включая медь (Cu), — встречаются на Земле в различных количествах, но все они изначально образовались во Вселенной из гелия и водорода в результате ядерного синтеза внутри звезд во время взрывов сверхновых миллионы лет назад [16]. На нашей планете медь попала во флору и стала важным микроэлементом для растений, животных и людей, которые могут столкнуться с нарушениями обмена веществ, вызванными неправильным усвоением меди [11]. В растениях медь является кофактором для множества ферментов и играет важную роль в передаче сигналов, работе антиоксидантной системы, дыхании и фотосинтезе [34]. Несколько механизмов обеспечивают гомеостаз меди в растениях, изменяют суточные и циркадные ритмы [27] и защищают растения от абиотического стресса, вызванного медью [33]. Медь, содержащаяся в растениях, поглощается ими из почвы, и эти растения, содержащие медь, являются первыми в пищевой цепочке, обеспечивая скот, пасущийся на полях, медью растительного происхождения, прежде чем люди начнут употреблять в пищу растения и мясо.
Медь, содержащаяся в продуктах питания и питьевой воде, может легко попасть в организм человека, но, как правило, не причиняет вреда здоровым людям, если только у них нет мутаций в гене ATP7B , нарушающих гомеостаз меди, как при болезни Вильсона — Коновалова. Эта мутация в первую очередь препятствует выведению избытка меди с желчью, что приводит к купроптозу. Из-за сопутствующего отложения железа в печени ферроптоз может способствовать повреждению печени. Существует единое мнение, что и купроптоз, и ферроптоз вызывают особые формы запрограммированной гибели клеток.
Обмен железа всегда интересовал клиницистов разных специальностей, в том числе неврологов. Заслуживает внимания тот факт, что переходные металлы — железо и медь — являются кофакторами для множества белков, жизненно важных для нормального функционирования клеток. В мозге железо и медь являются важными кофакторами для ферментов, участвующих, например, в синтезе нейромедиаторов и формировании миелина [17]. Для данных переходных металлов характерно как их недостаточное, так и избыточное содержание в организме, в том числе в мозге. Поэтому строгое регулирование их содержания жизненно важно для нормального функционирования и выживания клеток. В биологических системах железо в основном существует в двух ионных формах — двухвалентное железо (Fe 2+ ) и трехвалентное железо (Fe 3+ ). Вне клетки железо находится в окисленном, почти нерастворимом состоянии Fe 3+ и практически полностью связано с белком трансферрином, вырабатываемым печенью.
Медь также является окислительно-восстановительным переходным металлом, который легко меняет степень окисления с Cu + на Cu 2+ [30]. Вне клетки медь в основном присутствует в виде Cu 2+ , а внутри клетки — в основном в виде Cu + . Концентрация меди в мозге выше, чем в других органах, за исключением печени [25]. Медь необходима для нормальной работы центральной нервной системы. С другой стороны, избыток меди токсичен. Накопление меди в мозге приводит к таким симптомам, как дистония, психические расстройства, депрессия, ухудшение когнитивных функций, изменение личности, шизофрения, психоз и симптомы паркинсонизма. Уровень поглощения меди варьируется в разных областях мозга. Например, в гиппокампе поглощение меди значительно выше, чем в мозжечке [12].
Накопление железа напрямую связано с патологией головного мозга при некоторых наследственных заболеваниях, которые влияют на усвоение железа нейронами. Одним из примеров является нейродегенерация, ассоциированная с пантотенат киназой (PKAN; ранее известная как болезнь Галлервордена — Шпатца), которая характеризуется избыточным накоплением железа в мозге, сопровождающимся гибелью нейронов [35]. Считается, что накопление железа при PKAN является следствием мутации в гене, кодирующем фермент пантотенат киназу 2.
Количественные аспекты содержания меди
Вбиологических образцах человека медь присутствует в виде растворимого иона Cu 2+ , называемого двухвалентной медью, и в виде нерастворимого иона Cu 1+ , известного как одновалентная медь [13]. Сбалансированная диета обычно обеспечивает поступление меди в количестве около 1,2–1,3 мг в день или немного больше — около 1,5 мг в день. Ежедневно из желудка и тонкого кишечника всасывается около 0,8 мг [8], что достаточно для поддержания в организме здорового человека общего запаса меди в количестве около 80 мг, из которых 10 % приходится на печень. В настоящее время рекомендуемая суточная норма потребления меди для взрослых составляет 1 мг [26].
Медь является незаменимым микроэлементом для человека: участвует в выработке и поддержании энергии в митохондриях, окислительно-восстановительном гомеостазе, синтезе биосоединений, моделировании внеклеточного матрикса, а также выполняет функцию общей сигнальной молекулы [28]. Механизмы транспорта железа и меди в печени тесно связаны, что наблюдается при болезни БВК.
Современные ученые все большее внимание уделяют методам, объективизирующим информацию о когнитивных функциях [4]. Проблема когнитивных расстройств у взрослых и детей является одной из наиболее актуальных с медико-социальной точки зрения. Безусловно, важной задачей становится диагностика начальных стадий когнитивных расстройств, в частности памяти. Ее результаты способствуют более раннему назначению адекватной терапии и предотвращению ранней инвалидизации пациентов [4].
Характеристика болезни Галлервордена — Шпатца и болезни Вильсона — Коновалова
Нейродегенеративные заболевания — это не только личная трагедия и беда в любой семье, но и огромное бремя для общества, связанное прежде всего с необходимостью ухода за пациентами, страдающими снижением памяти разной степени выраженности.
Рис. 1. Общие механизмы нейродегенераций и их признаки [15]
Один из важных примеров орфанных заболеваний — нейродегенерации с накоплением железа в мозге (ННЖМ). В этом случае мозг пациентов содержит включения из отложений железа в виде бурых пятен, что иногда характерно и при «больших» нейродегенерациях [20]. Такая «ржавчина» образуется в нервной ткани из-за генетических дефектов в белках, которые в норме обеспечивают метаболизм железа. «Железные» нейродегенерации также поражают главным образом подростков и детей. Болезнь проявляется нарушениями движения, речи, когнитивными и психическими расстройствами, прогрессирует и плохо поддается лечению.
По биохимической классификации наследственных нейрометаболических болезней ННЖМ принадлежат к нарушениям обмена металлов; с клинической точки зрения их чаще относят к болезням с преимущественным поражением экстрапирамидной системы, хотя экстрапирамидные расстройства не всегда являются ведущими. До недавнего времени единственной дифференцированной ННЖМ была болезнь Галлервордена — Шпатца (современные названия — ННЖМ-1 или PKAN) — наследственное дегенеративное заболевание нервной системы, связанное с накоплением железа в базальных ганглиях [1, с. 170–171]. БГШ считается редким заболеванием, хотя истинная его частота остается неизвестной. Впервые болезнь была описана морфологами в 1922 г. J. Hallervorden и H. Spatz [18] на примере большой семьи, в которой из 12 детей были больны 5 родных сестер. Значительное внимание изучению болезни уделено в работах известного русского невролога, основоположника клинической нейрогенетики, доктора медицинских наук, профессора, академика Сергея Николаевича Давиденкова, который писал: «Симптомы болезни сводились к прогрессирующей контрактуре нижних конечностей и тяжелому слабоумию. Анатомически было отмечено в pallidum и ретикулярной части substantia nigra увеличенное содержание железа, появление глиозных элементов с большим бледным ядром, пигментирование клеток глии, диффузное появление неокрашенных конкрементов» [3]. В типичных случаях первые симптомы заболевания манифестируют между 5 и 15 годами жизни, а в 15 % случаев — во второй и третьей декадах жизни. Важнейшим признаком болезни является прогрессирующая деменция с распадом личности. Типичны агрессивность, раздражительность, асоциальное поведение. У детей нарушается внимание, снижается память.
Установлено наследование этой патологии по аутосомно-рецессивному типу. Выделено три типа в зависимости от возраста начала болезни (детский, подростковый и взрослый), а также ее типичный и атипичный варианты [22]. Значительный прорыв знаний в отношении механизмов развития болезни произошел в 2001 г., когда впервые был выявлен дефект в гене, расположенном на коротком плече хромосомы 20, ответственный за синтез фермента пантотенат киназы, после чего заболевание было переименовано в Pantothenate Kinase associated neurodegeneration (PKAN) [32]. Изначально эта группа расстройств была названа именами невропатологов Юлиуса Халлервордена и Хьюго Шпатца (болезнь Галлервордена — Шпатца), однако их неэтичная деятельность во время Второй мировой войны (вышли в свет публикации об их участии в программе «эвтаназии» психически больных, проводимой нацистами) приводит к призывам дискредитировать их [31, p. 364–365].
Характерным МРТ-паттерном при БГШ принято считать овальную симметричную гиперинтенсивную зону в области бледного шара внутри более обширной гипоинтенсивной зоны. Этот типичный симптом БГШ назван «глазом тигра», и его формирование связано с внеклеточным накоплением железа в базальных ганглиях [32]. В русскоязычной литературе встречаются единичные публикации, посвященные этой крайне редкой патологии, в которых подчеркивается сложность ее диагностики как у детей, так и у взрослых [6]. Лечение БГШ не существует — заболевание некурабельно. В связи с этим лечение данной патологии носит только симптоматический характер. На рисунке 2 представлено характерное отложение железа в бледном шаре с симптомом «глаза тигра» при ННЖМ-1 на МРТ.
Рис. 2. МРТ при ННЖМ-1. Отложение железа в бледном шаре с симптомом «глаза тигра» (стрелки)
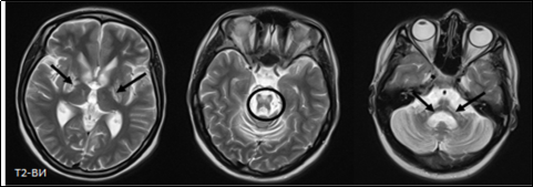
Еще одно заболевание, рассматриваемое нами в исследовании, — это болезнь Вильсона — Коновалова, вызванная мутациями в генах ATP7B [10]. Гепатолентикулярная дегенерация (или болезнь Вильсона — Коновалова) — орфанное аутосомно-рецессивное наследственное заболевание метаболизма меди с глобальной распространенностью около 1/100 000–3/100 000 населения, проявляющееся преимущественно печеночными, неврологическими и психиатрическими нарушениями вследствие чрезмерного отложения меди в органах и тканях [14]. На рисунке 3 представлены изменения на МРТ головного мозга у пациента с БВК: симметричное повышение интенсивности МР-сигнала от подкорковых структур, среднего мозга, с выраженной атрофией ствола мозга, средних мозжечковых ножек и полушарий мозжечка; признаки вторичной дегенерации мосто-мозжечковых путей в варолиевом мосту (симптом «креста»).
|
|
|
Рис. 3.МРТ-исследование в режиме Т2-ВИ (аксиальные срезы) пациентки М.
Роль гиппокампа в генерации тета-ритмов
Гиппокамп, основной компонент мозга человека и многих других позвоночных, получает и обрабатывает слуховую информацию, активен во время работы слуховой памяти и предоставляет прогнозную информацию в верхние височные доли во время непрерывного прослушивания речи. Одним из решений задачи объемной стимуляции электрической активности нейронов коры головного мозга и гиппокампа является воздействие на слуховую рецепторную систему. При различных формах деменции гиппокамп становится одной из первых областей мозга, которая подвергается повреждению (потеря кратковременной памяти и дезориентация входят в число ранних симптомов). Важно отметить, что гиппокамп — это не единая однородная структура, а регионально обособленные области, различающиеся по архитектуре, связям и функциональному значению [7].
Тета-колебания были впервые обнаружены в гиппокампе кролика в 1938 г. [21], где они возникали как спонтанно, так и в ответ на болевые раздражители. Первая связь с памятью была установлена, когда исследователи продемонстрировали, что продолжительность тета-колебаний в коре головного мозга у крыс после болевого раздражения коррелирует с последующей памятью об этом раздражении [24]. Несмотря на то что многие ранние исследования на грызунах были в основном сосредоточены на роли тета-ритма в произвольных движениях, где тета-колебания можно наблюдать достоверно и с большой амплитудой, в некоторых исследованиях отмечалось, что тета-колебания возникают и во время неподвижности [23]. Связь между тета-ритмом и памятью была позднее подтверждена исследованиями, показавшими, что синаптическая пластичность модулируется фазой тета-колебаний [9]. Тета-ритм — один из основных ритмов мозга, представляющий собой ритмические колебания потенциала с постоянной частотой, лежащей в пределах от 4 до 8 Гц (тета-диапазон частот). На рисунке 4 представлены ритмы головного мозга.
Рис. 4. Ритмы головного мозга
Следует подчеркнуть, что гиппокамп — не единственная область в мозгу, генерирующая тета-ритмы. Тета-ритм электроэнцефалограммы (ЭЭГ) отражает активность корково-лимбических нейросетей, а также рассматривается как необходимый компонент системы контроля, обслуживающей процессы рабочей памяти [29]. Более всего он выражен в гиппокампе — области мозга, ответственной за консолидацию памяти. Мы предположили, что восстановление памяти связано с усилением ритмической активности в сети областей мозга, которые обрабатывают аудиостимулы. Существует много свидетельств в пользу того, что сон или медитация играет важную роль в синаптической пластичности и памяти.
Влияние ароматов и медитации на тета-ритмы
В своем исследовании мы опирались на данные, полученные профессором кафедры фармацевтической и токсикологической химии им. А. П. Арзамасцева Института фармации им. А. П. Нелюбина Сеченовского университета Минздрава России Снежаной Агатонович-Куштрин, которая представила результаты исследования о влиянии эфирных масел на пациентов с НДЗ. Эфирные масла, в свою очередь, содержат терпены и терпеноиды — природные органические соединения, которые через нос или кожу могут встраиваться в кровоток и проходить через гематоэнцефалический барьер. Они ингибируют (подавляют) ацетилхолинэстеразу, вследствие чего повышается содержание ацетилхолина в головном мозге. Таким образом, ароматерапия с эфирными маслами семейства яснотковых замедляет развитие когнитивных нарушений и улучшает качество жизни пациентов с болезнью Альцгеймера и деменцией.
Особенности гиппокампа, связанные с медитацией, в том числе его соединительные волокна, изучались с помощью различных методов визуализации, в частности МРТ. Результаты этих визуализаций указывают на бо́льшие размеры гиппокампа у медитирующих, такие как бо́льший объем гиппокампа, большие расстояния между областями гиппокампа, большее количество серого вещества гиппокампа. Более того, эти результаты, полученные в ходе поперечного исследования, дополняются результатами лонгитюдного анализа, которые указывают на увеличение глиальных клеток гиппокампа в результате медитации [19]. Обширная литература, посвященная влиянию медитации на гиппокамп, дополняется не менее обширной литературой, посвященной различиям между мужским и женским мозгом на уровне гиппокампа.
Практическая часть исследования
Поскольку орфанные заболевания довольно редки, а их клинические проявления разнообразны, на сегодняшний день существует крайне мало опубликованных рандомизированных контролируемых исследований по БВК и ННЖМ, что побуждает нас провести собственное исследование по определению роли поливалентных металлов в патогенезе когнитивных нарушений и влияния тета-ритма в нейрореабилитации.
Целью данного исследования было получение новых знаний о роли поливалентных металлов в патогенезе когнитивных нарушений (памяти), а также поиск эффективных методов реабилитации (тета-ритм) или профилактики снижения когнитивных функций у лиц с орфанными заболеваниями.
Объект исследования — состояние когнитивного статуса (памяти), влияющее на качество жизни лиц с болезнью Вильсона — Коновалова и болезнью Галлервордена — Шпатца.
Предмет исследования — метод аудиостимуляции аппаратом «ТЕТА-РИТМ», основанный на анализе лабораторных и визуализационных данных лиц с орфанными заболеваниями.
В качестве гипотезы выдвинуто предположение, что тета-ритм играет критически важную роль в процессах внимания и памяти, осуществляющихся с участием гиппокампа, а принцип действия устройства «ТЕТА-РИТМ», основанный на явлении синхронизации электрических потенциалов головного мозга с внешним стимулом (ритмичным звуком), будет являться эффективным методом нейрореабилитации и улучшения оптимального качества жизни лиц с орфанными заболеваниями.
В соответствии с целью и гипотезой были поставлены следующие задачи:
- Проанализировать и обобщить имеющиеся в научной литературе данные по проблеме влияния поливалентных металлов на патогенез когнитивных нарушений пациентов с избыточным накоплением меди и железа в головном мозге.
- Разработать диагностический блок для исследования нарушений памяти на основе жалоб пациентов с орфанными заболеваниями.
- Проанализировать результаты биохимических факторов, данных нейровизуализации, электроэнцефалограммы и когнитивных вызванных потенциалов (КВП) лиц с болезнью Вильсона — Коновалова и болезнью Галлервордена — Шпатца.
- Провести экспериментальное исследование пациентов с применением аппарата «ТЕТА-РИТМ», относящегося к устройствам для неинвазивной аудиостимуляции структур гиппокампа, принцип действия которого основан на явлении синхронизации электрических потенциалов головного мозга с внешним стимулом (ритмичным звуком).
- Оценить взаимосвязь между нарушением памяти и избыточным накоплением поливалентных металлов у лиц с орфанными заболеваниями с учетом возраста манифестации, гендерной принадлежности и тяжести заболевания.
- Разработать основные рекомендации по нейрокогнитивной реабилитации взрослых пациентов с избыточным накоплением поливалентных металлов спустя три месяца с начала реабилитации на фоне медикаментозного лечения.
В соответствии с поставленными задачами определены следующие методы исследования:
— теоретические;
— эмпирические (метод анкетирования, изучения медицинской документации, оценка биохимических и нейровизуализационных параметров, результатов нейрофизиологических исследований, динамическое наблюдение);
— инструментальные (ЭЭГ, КВП — проводит нейрофизиолог, аппарат «ТЕТА-РИТМ»);
— математико-статистическая обработка полученных данных с использованием программного пакета Statistica12.0, а также аналитических возможностей программы Microsoft Office Excel.
Базой экспериментального исследования являлось федеральное государственное бюджетное научное учреждение «Российский центр неврологии и нейронаук» (ФГБНУ РЦНН): консультативно-диагностическое отделение Института клинической и профилактической неврологии, 5-е неврологическое отделение с молекулярно-генетической лабораторией. Все пациенты предъявляли жалобы на снижение памяти и концентрации внимания в большей или меньшей степени с момента манифестации заболеваний.
В основу исследования положен анализ собственных наблюдений и обследования пациентов под руководством опытных неврологов ФГБНУ РЦНН. Объектом исследования стала группа из 26 пациентов (все праворукие): из них 24 пациента — с БВК (12 мужчин, 12 женщин) в возрасте от 18 до 49 лет (средний возраст — 33,5±15,5 лет), средний возраст мужчин — 31±13 лет, средний возраст женщин — 34±15 лет, и 2 пациента с ННЖМ (1 мужчина и 1 женщина), средний возраст — 30±10 лет, находившиеся на амбулаторном и стационарном лечении в поликлиническом отделении Института клинической и профилактической неврологии и 5-м неврологическом отделении с молекулярно-генетической лабораторией ФГБНУ РЦНН с 24 марта по 22 декабря 2025 года. Исследование проводилось с соблюдением современных общепринятых норм биомедицинской этики. На момент включения в исследование (до начала занятий) медиана [Q1; Q3] по шкале MoCA составляла 24 [22; 26] балла. Все обследуемые подписали добровольное информированное согласие на проведение анкетирования и участие в исследовании.
Пациентам с БВК и ННЖМ было назначено 20 последовательных сеансов в течение 10 дней, по 2 сеанса в день. Были проведены нейропсихологические оценки и анкетирование с помощью опросников, а также ЭЭГ, результаты которых сравнивались на момент поступления в стационар (исходный уровень) и через 3 месяца наблюдения.
Когнитивные и психоэмоциональные показатели каждого пациента оценивались опытным нейропсихологом. Нейропсихологические тесты оценивали внимание, оперативную память, исполнительные функции, эпизодическую память и общие когнитивные функции. Данные ЭЭГ и КВП каждого пациента регистрировались и анализировались квалифицированным старшим нейрофизиологом.
Противопоказания к применению аудиостимуляции пациентов были следующими:
— судорожные состояния, эпилепсия;
— травмы и опухоли головного мозга;
— гидроцефалия;
— острые психические расстройства;
— наличие гиперемии, кожных высыпаний и повреждений кожи в местах, соприкасающихся с дужками оправы очков.
Наше исследование предполагало четыре этапа работы:
- Изучение специальной литературы, ретроспективный анализ информации, содержащейся в медицинских картах пациентов, анализ клинико-лабораторных данных (анализ крови, показатели обмена меди и железа), ознакомление с результатами магнитно-резонансной томографии (МРТ), молекулярно-генетической диагностики (ДНК), заключением нейроофтальмолога (кольца Кайзера — Флейшера).
- Разработка диагностического блока исследования по выявлению нарушения памяти, подбор шкал, определение группы респондентов и их обследование, статистический анализ полученных результатов.
- Проведение экспериментального исследования пациентов с применением аппарата «ТЕТА-РИТМ», относящегося к устройствам для неинвазивной аудиостимуляции структур гиппокампа.
- Разработка рекомендаций для нейрокогнитивной реабилитации по преодолению нарушений памяти, сравнительный анализ спустя три месяца.
Критериями для постановки диагноза «болезнь Вильсона — Коновалова» (проводил невролог), согласно Лейпцигской количественной шкале, служили:
— характерные для БВК нарушения обмена меди;
— изменения при МРТ головного мозга («мордочка гигантской панды» или «мордочка детеныша панды»), наличие роговичных колец Кайзера — Флейшера;
— подтвержденные результаты молекулярно-генетической диагностики (наличие мутаций в гене ATP7B ).
Критериями для постановки диагноза «болезнь Галлервордена — Шпатца» (проводил невролог) служили:
— МРТ головного мозга — основополагающий метод диагностики БГШ (овальная симметричная гиперинтенсивная зона в переднемедиальной части внутреннего сегмента бледного шара («зрачок») внутри более обширной гипоинтенсивной зоны — «глаз тигра»);
— данные неврологического статуса и электроэнцефалографии;
— консультация офтальмолога, визиометрия;
— определение типа наследования (осуществлял генетик путем составления генеалогического древа);
— молекулярно-генетический анализ гена PANK2 ;
— ДНК-диагностика (поиск мутаций в гене пантотенат киназы).
В таблице 1 представлена комплектация аппарата аудиостимуляции —инструмента для формирования вибрационных стимулов Vibrostim™ (модель «ТЕТА-РИТМ»),спомощью которого осуществляли стимуляцию пациентов в исследовании.
Таблица 1
Комплектация аппарата аудиостимуляции «ТЕТА-РИТМ»
|
№ п/п |
Наименование |
Изображение |
Количество |
|
1 |
Аппарат «ТЕТА-РИТМ» |
|
1 |
|
2 |
Сдвоенный вибратор на прищепках |
|
1 |
|
3 |
Непрозрачные очки белого цвета |
|
1 |
|
4 |
Беруши |
|
1 |
|
5 |
Кулон для эфирных масел |
|
1 |
|
6 |
Эфирное масло «Розмарин» (100%-ное эфирное масло розмарина (Rosmarinus Officinalis)) |
|
1 |
Процедуры проводили в сопровождении опытного невролога на регулярной основе ежедневно дважды в день (утром и вечером), но не ранее чем через 2 часа после приема пищи. Работа аппарата (1 сеанс) длился 10 минут. На рисунке 5 представлен алгоритм проведения процедуры.
–
Рис. 5. Алгоритм проведения процедуры
Роль железа в нейродегенеративных процессах недостаточно изучена, но известно его участие в патогенезе паркинсонизма, болезни Альцгеймера, болезни Фридрейха. Лечение ННЖМ имеет ограниченные возможности.
Клиническое обследование включало сбор анамнеза и оценку психического статуса пациента на момент первичного осмотра. Для инструментальной оценки когнитивных функций использовали метод оценки когнитивных вызванных потенциалов — методику Р300: выделение КВП на значимые опознаваемые события. Выбранные нами шкалы представлены в таблице 2.
Таблица 2
Характеристики шкал при БВК и ННЖМ
|
Шкала |
Назначение |
Оценка |
Единицы измерения |
Диапазон |
Интерпретация |
|
Шкала MoCA |
Оценка когнитивных функций |
Невролог |
Баллы (целое число) |
0–30 |
Чем больше, тем лучше |
|
WHOQOL-BREF |
Оценка качества жизни |
Пациент |
Баллы (целое число) |
1–5 |
Чем больше, тем лучше |
|
1–5 | |||||
|
7–35 | |||||
|
6–30 | |||||
|
3–15 | |||||
|
8–40 |
В последние десятилетия появились новые технологии исследования головного мозга: позитронно-эмиссионная томография, функциональная магнитно-резонансная томография, количественная электроэнцефалография и метод когнитивных вызванных потенциалов [5]. Для объективной оценки динамики функционального состояния головного мозга в процессе лечения адекватным и высокоинформативным является анализ параметров когнитивных вызванных потенциалов. На рисунке 6 представлены результаты исследования КВП пациента c болезнью Вильсона — Коновалова.
|
|
|
Рис. 6. Результаты исследования когнитивных вызванных потенциалов пациента c БВК экспериментальной группы
Результаты исследования КВП — это данные, отражающие процессы работы мозга и связанные с восприятием, обработкой и анализом информации. Когнитивный вызванный потенциал Р300-Р3 генерируется в лобных, теменных долях головного мозга, подкорковых структурах (в таламусе и гиппокампе). Впервые в 1875 г. британский врач, профессор физиологии и лорд-мэр Ливерпуля Ричард Катон показал, что в головном мозге возникают электрические потенциалы в ответ на стимуляцию сенсорного органа.
Нейрофизиологические исследования с применением усреднения ЭЭГ показали, что вызванные потенциалы (ВП) определенной модальности представляют собой весьма стабильный феномен, хорошо сохраняющий свои формальные и количественные характеристики при повторных исследованиях [2]. Методика регистрации ВП является неинвазивной, относительно недорогой и подходит для скрининговых обследований детей и взрослых, что послужило основанием для широкого применения метода ВП в оценке когнитивной активности головного мозга пациентов с НДЗ.
Понимание точных механизмов дегенерации и роли поливалентных металлов позволит снизить инвалидизацию при прогрессирующих заболеваниях головного мозга, выделить ведущее звено патогенеза при этих заболеваниях и назначить обоснованную неинвазивную реабилитацию когнитивных нарушений.
Таким образом, проведенное нами исследование свидетельствует о том, что стимуляция аппаратом «ТЕТА-РИТМ» может быть эффективным методом уменьшения когнитивных нарушений у пациентов с легким и умеренным снижением памяти. Если наши результаты подтвердятся рандомизированными контролируемыми исследованиями с участием большего числа пациентов, то можно будет рассматривать его как полезный неинвазивный нефармакологический метод предотвращения дальнейшего снижения когнитивных функций и их восстановления у лиц с избыточным накоплением железа и меди. Изученный нами опыт исследований в данной области показывает, что восстановление элементного баланса становится обязательной реабилитационной стратегией, без которой невозможно добиться устойчивых результатов в компенсации когнитивного дефицита.
Заключение
Наши результаты показали, что пациентам с когнитивными нарушениями нейродегенеративного генеза могут быть полезны процедуры с использованием аппаратной аудиостимуляции. При этом наблюдается незначительное улучшение рабочей памяти, концентрации внимания, психоэмоциональной динамики и активности в тета-диапазонах. Эти результаты обнадеживают и заслуживают проведения будущих когнитивных и нейрофизиологических исследований, в которых следует учитывать не только поражения головного мозга, но и влияние поливалентных металлов на характеристики памяти.
Таким образом, НДЗ с избыточным накоплением поливалентных металлов представляют собой группу активно изучаемых в настоящее время заболеваний. Раннее выявление нарушений памяти с помощью когнитивных шкал и метода КВП (особенно на этапе их доклинической диагностики) будет способствовать проведению своевременной терапии этих нарушений, лечебных и профилактических мероприятий для предотвращения дальнейшего ухудшения состояния здоровья и снижения риска инвалидизации. Полученные нами первые результаты применения инновационного аппарата «ТЕТА-РИТМ», относящегося к устройствам для неинвазивной аудиостимуляции структур гиппокампа, являются мощным стимулом для сохранения здоровья человека и дальнейших научных исследований.
Благодарности
Мы искренне благодарим всех участников за их самоотверженность и вклад в наше исследование, а также выражаем слова благодарности за поддержку и консультирование в процессе работы над практической частью данного исследования: Н. А. Супоневой, д. м. н., профессору, члену-корреспонденту РАН, директору Института нейрореабилитации и восстановительных технологий ФГБНУ «Российский центр неврологии и нейронаук»; Е. Ю. Федотовой, д. м. н., ведущему научному сотруднику, руководителю 5-го неврологического отделения с молекулярно-генетической лабораторией ФГБНУ «Российский центр неврологии и нейронаук»; Е. П. Нужному , д.м. н., старшему научному сотруднику; В. В. Полещуку, к. м. н., неврологу высшей категории, старшему научному сотруднику лаборатории возрастной физиологии мозга и нейрокибернетики Института мозга ФГБНУ «Российский центр неврологии и нейронаук».
Литература:
- Болезни нервной системы. Руководство для врачей. В 2 т. Т. 2 / под ред. Н. Н. Яхно. — М. : Медицина, 2005.
- Гнездицкий, В. В. Атлас по вызванным потенциалам мозга : (практическое руководство, основанное на анализе конкретных клинических наблюдений) / В. В. Гнездицкий, О. С. Корепина. — Иваново : ПресСто, 2011. — 528 с.
- Давиденков, С. Н. Наследственные болезни нервной системы / С. Н. Давиденков. — 2-е изд., испр. и доп. — М., 1932. — 375 с.
- Зуева, И. Б. Когнитивный вызванный потенциал Р300: роль в оценке когнитивных функций у больных с артериальной гипертензией и ожирением / И. Б. Зуева, К. И. Ванаева, Е. Л. Санец // Бюллетень СО РАМН. — 2012. — Т. 32, № 5. — С. 55–62.
- Функциональные биомаркеры в диагностике психических заболеваний: когнитивные вызванные потенциалы / Ю. Д. Кропотов, М. В. Пронина, Ю. И. Поляков, В. А. Пономарев // Физиология человека. — 2013. — Т. 39, № 1. — С. 14–25.
- Болезнь Галлервордена — Шпатца с поздним началом / О. С. Левин, Н. А. Юнищенко, Н. А. Амосова [и др.] // Неврологический журнал. — 2004. — Т. 9, № 2. — С. 36–46.
- Cytoarchitectonic Mapping of the Human Amygdala, Hippocampal Region and Entorhinal Cortex: Intersubject Variability and Probability Maps / K. Amunts, O. Kedo, M. Kindler [et al.] // Anatomy and Embryology. — 2005. — Vol. 210, № 5-6. —P. 343–352.
- Burkhead, J. L. Nutrition Information Brief-Copper / J. L. Burkhead, J. F. Collins // Advances in Nutrition. — 2022. — Vol. 13, № 2. — P. 681–683. — DOI: 10.1093/advances/nmab157
- Buzsáki, G. Theta Oscillations in the Hippocampus / G. Buzsáki // Neuron. — 2002. — Vol. 33, № 3. — P. 325–340.
- The Molecular Mechanisms of Copper Metabolism and Its Roles in Human Diseases / J. Chen, Y. Jiang, H. Shi [et al.] // Pflügers Archiv: European Journal of Physiology. — 2020. — Vol. 472, № 10. — P. 1415–1429. — DOI: 10.1007/s00424-020-02412-2
- Physiological and Molecular Mechanisms of Plant Responses to Copper Stress / G. Chen, J. Li, H. Han [et al.] // International Journal of Molecular Sciences. — 2022. — Vol. 23, № 21. — P. 12950. — DOI: 10.3390/ijms232112950
- Choi, B. S. Copper Transport to the Brain by the Blood-Brain Barrier and Blood-CSF Barrier / B. S. Choi, W. Zheng / Brain Research. — 2009. — Vol. 1248. — P. 14–21.
- Collins, J. F. Copper Nutrition and Biochemistry and Human (Patho)Physiology / J. F. Collins // Advances in Food and Nutrition Research. — 2021. — Vol. 96. — P. 311–364. — DOI: 10.1016/bs.afnr.2021.01.005
- Wilson disease / A. Członkowska, T. Litwin, P. Dusek [et al.] // Nature Reviews. Disease Primers. — 2018. — Vol. 4, № 1. — DOI: 10.1038/s41572-018-0018-3
- Hallmarks of Neurodegenerative Diseases / D. M. Wilson, M. R. Cookson, L. Van Den Bosch [et al.] // Cell. — 2023. — Vol. 186, № 4. — P. 693–714. — DOI: 10.1016/j.cell.2022.12.032
- Frebel, A. The Formation of the Heaviest Elements / A. Frebel, T. C. Beers // Physics Today. — 2018. — Vol. 71, № 1. — P. 30–37. — DOI: 10.1063/PT.3.3815
- Copper Homeostasis and Neurodegenerative Disorders (Alzheimer’s, Prion, and Parkinson’s Diseases and Amyotrophic Lateral Sclerosis) / E. Gaggelli, D. Valensin, G. Valensin, H. Kozlowski // Chemical Reviews. — 2006. — Vol. 106, № 6. — P. 1995–2044. — DOI: 10.1021/cr040410w
- Hallervorden, J. Eigenartige Erkrankung im extrapyramidalen System mil besonderer Beteiligung des Globus pallidus und der Substantia nigra / J. Hallervorden, H. Spatz // Zeitschrift für die gesamte Neurologie und Psychiatrie. — 1922. — Vol. 79. — P. 254–302.
- Mindfulness Practice Leads to Increases in Regional Brain Gray Matter Density / B. K. Holzel, J. Carmody, M. Vangel [et al.] // Psychiatry Research. — 2011. — Vol. 191. — P. 36–43.
- Iron and Alzheimer’s Disease: From Pathogenesis to Therapeutic Implications / J. L. Liu, Y. G. Fan, Z. S. Yang [et al.] // Frontiers in neuroscience. — Vol. 12. — P. 632. — DOI: 10.3389/fnins.2018.00632
- Jung, R. Eine Methodik der Ableitung Iokalisierter Potentialschwankungen aus subcorticalen Hirngebieten / R. Jung, A. E. Kornmüller // Archiv für Psychiatrie und Nervenkrankheiten. — 1938. — Vol. 109, № 1. — P. 1–30.
- Pantothenate Kinase Associated Neurodegeneration (Hallervorden — Spatz Syndrome) / S. Kapoor, K. Hortnagel, S. Gogia [et al.] // Indian Journal of Pediatrics. — 2005. — Vol. 72, № 3. — P. 261–263.
- Kramis, R. Two Types of Hippocampal Rhythmical Slow Activity in Both the Rabbit and the Rat: Relations to Behavior and Effects of Atropine, Diethyl Ether, Urethane, and Pentobarbital / R. Kramis, C. H. Vanderwolf, B. H. Bland // Experimental Neurology. — 1975. — Vol. 49. — P. 58–85.
- Landfield, P. W. Theta Rhythm: A Temporal Correlate of memory Storage Processes in the Rat / P. W. Landfield, J. L. McGaugh, R. J. Tusa // Science. — 1972. — Vol. 175, № 4017. — P. 87–89.
- Lech, T. Copper Concentration in Body Tissues and Fluids in Normal Subjects of Southern Poland / T. Lech, J. K. Sadlik // Biological Trace Element Research. — 2007. — Vol. 118, № 1. — P. 10–15.
- Morris, A. L. Biochemistry, Nutrients / A. L. Morris, S. S. Mohiuddin // StatPearls. — [S. l.] : StatPearls Publishing, 2023.
- Modulation of Copper Deficiency Responses by Diurnal and Circadian Rhythms in Arabidopsis Thaliana / A. Perea-García, A. Andrés-Bordería, S. Mayo de Andrés [et al.] // Journal of Experimental Botany. — 2016. — Vol. 67, № 1. — P. 391–403. — DOI: 10.1093/jxb/erv474
- Ruiz, L. M. Role of Copper on Mitochondrial Function and Metabolism / L. M. Ruiz, A. Libedinsky, A. A. Elorza // Frontiers in Molecular Biosciences. — 2021. — Vol. 8. — P. 711227. — DOI: 10.3389/fmolb.2021.711227
- Control Mechanisms in Working Memory: A Possible Function of EEG Theta Oscillations / P. Sauseng, B. Griesmayr, R. Freunberger, W. Klimesch // Neuroscience & Biobehavioral Reviews. — 2010. — Vol. 34, № 7. — P. 1015–1022. — DOI: 10.1016/j.neubiorev.2009.12.006
- Sharp, P. The Molecular Basis of Copper and Iron Interactions / P. Sharp // The Proceedings of the Nutrition Society. — 2004. — Vol. 63, № 4. — P. 563–569. — DOI: 10.1079/pns2004386
- Textbook of Clinical Neuropsychiatry / ed. by D. P. Moor. — UK : Hodder Arnos, 2008. — 731 p.
- Clinicopathological Variability in Neurodegeneration with Brain Iron Accumulation / A. Vincze, I. Kapás, M. J. Molnar, G. G. Kovács // Ideggyogyaszati szemle. — 2010. — Vol. 63, № 3-4. — P. 129–135.
- Molecular Mechanism of Plant Response to Copper Stress: A Review / R. X. Wang, Z. H. Wang, Y. D. Sun [et al.] // Environmental and Experimental Botany. — 2024. — Vol. 218. — P. 105590. — DOI: 10.1016/j.envexpbot.2023.105590
- Yruela, I. Copper in Plants: Acquisition, Transport and Interactions / I. Yruela // Functional Plant Biology. — 2009. — Vol. 36, № 5. — P. 409–430. – DOI: 10.1071/FP08288
- A Novel Pantothenate Kinase Gene (PANK2) is Defective in Hallervorden-Spatz Syndrome / B. Zhou, S. K. Westaway, B. Levinson [et al.] // Nature genetics. — 2001. — Vol. 28, № 4. — P. 345–349.

