Загрязнение водных ресурсов нефтью и продуктами её переработки является одним из наиболее вредных и опасных видов антропогенного воздействия на водные экосистемы. Оно не только приводит к ухудшению качества воды, но и оказывает непосредственное влияние на все живущие в ней организмы. В этой связи защита и очистка поверхностных вод от нефтяных загрязнений представляют собой одну из важнейших социально-экономических и научно-технических задач в области экологии. В литературе описано множество способов получения сорбентов и фильтрующих материалов для очистки воды от нефтепродуктов, а также технологических схем их применения [2, с.307]. Наибольший интерес вызывают природные сорбенты и сорбирующие материалы, полученные из растительных остатков. Цель данного исследования заключается в изучении эффективности использования листьев мать-и-мачехи в качестве биосорбента для очистки водной поверхности от нефтяных пленок.
Для проведения экспериментов использовались свежесобранные (в конце августа — в начале сентября) вегетативные листья мать-и-мачехи. Листья были целыми, без пятен, длиной до 8 см и шириной до 12 см. В качестве контрольных образцов были использованы две пробы: чистая вода (100 мл) и вода, загрязненная нефтью (к 100 мл воды добавлено 3 мл нефти). В экспериментальной пробе содержалось по 100 мл воды и 3 мл нефти. В экспериментальную пробу для сбора нефтяной пленки помещены свежесобранные листья мать-и-мачехи. Для увеличения сорбционной площади поверхность листа разрезана на полоски длиной до 1 см и шириной 0,5 см. В экспериментальную пробу было помещено по 15 полосок листьев. Сорбция нефти листьями осуществлялась в течение 10 минут, после чего листовые полоски извлекались с помощью пинцета.
Плотность жидкости во всех пробах измерялась с помощью ареометра для нефти и нефтепродуктов. Для оценки прозрачности использовался метод, основанный на определении высоты водного столба, при котором ещё возможно визуальное распознавание черного шрифта высотой 3,5 мм и шириной линии 0,35 мм на белом фоне. Мерный цилиндр закреплялся в штативе, наполнялся пробой загрязнённой водой и устанавливался над ламинированным образцом шрифта. Наблюдение за прозрачностью проводилось при достаточном верхнем освещении. Уровень пробы постепенно снижался путём отбора воды пипеткой до момента, когда становилось возможным различить образец шрифта. Прозрачность оценивалась по максимальной высоте жидкости (в см), при которой был различим шрифт. Затем образцы подвергались фильтрованию, оценивалось наличие запаха, цвет фильтрата и остатки сухого осадка на фильтре. С помощью универсальной индикаторной бумаги определялось значение pH фильтрата. Степень очистки воды оценивалась органолептически.
Плотность нефти в нашем исследовании составила 0,880 г/см³. Плотность воды, очищенной от нефти с помощью листьев мать-им-мачехи, оказалась близка к плотности чистой воды. Это свидетельствует о снижении концентрации эмульгированных нефтепродуктов на поверхности воды. Прозрачность воды, загрязненной нефтью, составила 5,5 см (против 15,5 см чистой воды). После сорбции нефтяной пленки свежими листьями мать-и-мачехи прозрачность воды приблизилась к показателю чистой воды. Эти данные могут свидетельствовать о высокой сорбционной способности листьев мать-и-мачехи.
После очистки экспериментальные пробы жидкостей были отфильтрованы. Фильтраты оказались прозрачными, чистыми, без признаков мелкодисперсной эмульсии. Универсальный индикатор показал нейтральное значение pH воды во всех пробах. На рисунке 1 представлены следы остаточного сухого осадка нефти на фильтре. Видно, что свежесобранные листья растения проявляют высокую сорбционную активность, поскольку на фильтре остаются лишь незначительные следы мелкодисперсной эмульсии нефти. Тем не менее, экспериментальные пробы сохраняли характерный запах нефти, что указывает на неполное удаление летучих компонентов нефти.
Рис.1. Следы остатков сухого осадка нефти на фильтре: А — после сорбции свежесобранными листьями; Б — контроль (вода с нефтью)
Очистка поверхности водоёмов от загрязнений включает использование механических и физико-химических методов для удаления нефтяной плёнки. Одним из наиболее перспективных и экологически обоснованных подходов считается применение растительных материалов для сорбции нефтепродуктов. Для создания нефтяных сорбентов используют разнообразные виды растительного сырья, такие как пшеничная солома, камышовая сечка, шелуха гречихи, кора осины и сосны, древесные опилки, торф, сухой мох, а также отходы ватного производства [1, с.285]. В нашем исследовании вегетативные листья мать-и-мачехи продемонстрировали высокую степень поглощения нефти, хорошую плавучесть и низкое водопоглощение.
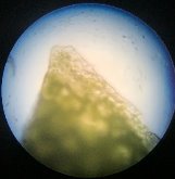
Нижняя сторона листьев этого растения имеет густое волокнистое опушение (рис.2А). Молодые листья характеризуются более выраженным густым опушением не только на нижней, но и на верхней стороне листовой пластинки. Нижняя сторона листа покрыта длинными спутанными волосками, придающими ей войлочный вид (рис.2Б). Мы предполагаем, что сорбция нефти осуществляется посредством адгезии на такую волокнистую поверхность. Свежесобранные листья активно впитывают воду, что способствует удержанию высоковязкой нефти адгезионными силами. Однако нельзя исключать возможность того, что поглощение нефти листьями не ограничивается исключительно поверхностной сорбцией. При рассмотрении листа под микроскопом видно (рис. 2Б и 2В), что клетки нижнего эпидермиса имеют сильно извилистые стенки и покрыты волосками. Под эпидермисом находится аэренхима. Клетки аэренхимы располагаются в виде однорядных цепочек, формирующих крупные воздухоносные полости. Вероятно, именно благодаря клеткам аэренхимы обеспечиваются высокая плавучесть и эффективное поглощение нефти на поверхности воды.
А)
Рис.2. А) Нижняя сторона листа мать-и-мачехи. Б) Многоклеточные волоски на нижней стороне листа под световым микроскопом (15х20). В) Клетки аэренхимы на нижней стороне листа (15х20)
Проведённые исследования подтвердили возможность использования вегетативных листьев мать-и-мачехи в качестве природного сорбента для удаления нефтяной плёнки с поверхности воды. Наиболее эффективными оказались свежие листья этого растения. Они способны практически полностью очистить воду от поверхностного нефтяного загрязнения, хотя сохраняют характерный нефтяной запах. Результаты исследования свидетельствуют о высокой эффективности, доступности и экологической безопасности данного метода очистки воды от нефти.
Литература:
- Веприкова Е. В., Терещенко Е. А., Чесноков Н. В., Щипко М. Л., Кузнецов Б. Н. Особенности очистки воды от нефтепродуктов с использованием нефтяных сорбентов, фильтрующих материалов и активных углей. // Журнал СФУ. Химия.– 2010.– № 3.–С.285–307.
- Привалова Н. М., Двадненко М. В., Некрасова А. А., Попова О. С., Привалов Д. М. Исследование методов очистки вод от загрязнений нефтью и нефтепродуктами. // КубГАУ. — 2015.–№ 113.– С.307–316.

